You are currently viewing Muče vas afte u ustima? Evo zašto nastaju i kako se riješiti neugodne boli

Muče vas afte u ustima? Evo zašto nastaju i kako se riješiti neugodne boli

Podijelite sa prijateljima:

Afte: Uzroci, Simptomi i Metode Liječenja

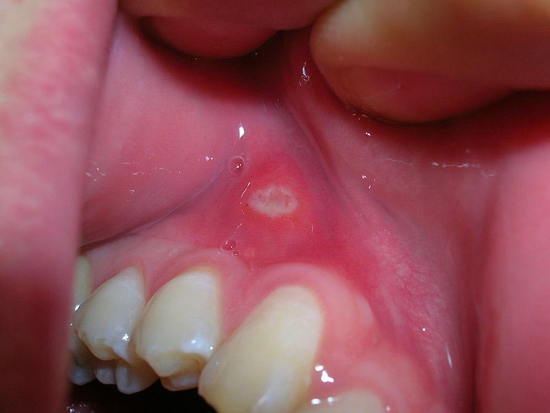
Afte, koje su medicinski poznate kao aftozni ulkusi, predstavljaju male, plitke rane koje se često pojavljuju na sluznici usne šupljine. Ove rane, iako nisu opasne, mogu izazvati značajnu nelagodu i bol, otežavajući svakodnevne aktivnosti poput jedenja, pijenja i govora. Aftozni ulkusi obično započinju kao bijele ili žućkaste ranice koje su okružene crvenim rubom. Dok većina afti ostaje mala, neke mogu narasti do 2,5 cm u promjeru, a najčešće se pojavljuju na jeziku, desnima, nepcu, unutarnjoj strani usana i ispod jezika. Ove rane mogu biti uzrokovane različitim faktorima, a njihova pojava može se manifestirati u različitim oblicima.
Vrste Afti

Postoje dvije glavne vrste afti: jednostavne afte i kompleksne afte. Jednostavne afte obično se javljaju nekoliko puta godišnje i traju do tjedan dana. One su obično manje bolne i ne ostavljaju ožiljke nakon zacjeljivanja. S druge strane, kompleksne afte, koje su rjeđe, mogu biti dugotrajnije i često se ponavljaju kod osoba koje su ih već imale. Ove afte su veće, dublje i mogu uzrokovati ozbiljnije simptome, poput intenzivne boli i otežanog gutanja. Iako su afte neugodne, važno je napomenuti da se one ne javljaju kao rezultat infekcije, što znači da nisu zarazne i ne mogu se prenijeti s jedne osobe na drugu. Ovo je bitna informacija koja može umiriti one koji se brinu da bi mogli prenijeti afte na druge.
Simptomi i Uzroci Afti

Tekst se nastavlja ispod oglasa:

Simptomi afti obuhvataju pojavu jedne ili više bolnih ranica u ustima, osjećaj peckanja ili žarenja, te male okrugle ranice bijele, sive ili žute boje s crvenim rubom. U težim slučajevima, osobe mogu doživjeti povišenu temperaturu, iscrpljenost, te otečene limfne čvorove. Uzroci pojave afti još uvijek nisu potpuno razjašnjeni, ali postoji niz faktora koji mogu potaknuti njihov nastanak. Na primjer, stres je jedan od najčešćih uzroka, jer može oslabiti imunološki sistem i povećati osjetljivost na upale. Također, ozljede sluznice (npr. ugrizi ili gruba hrana) mogu izazvati afte. Konzumacija kisele hrane poput agruma ili začinjene hrane takođe može doprinositi razvoju aftoznih ulkusa. Osobe koje imaju nutritivne nedostatke, posebno nedostatak vitamina B12, folne kiseline, željeza ili cinka, takođe su podložnije razvoju afti. Upotreba određenih lijekova, kao što su nesteroidni antiinflamatorni lijekovi, može dodatno pogoršati situaciju.
Liječenje i Njega Afti

U slučaju pojave afti, mnogi se odlučuju za različite metode liječenja kako bi ublažili bol i ubrzali proces zacjeljivanja. Lokalni anestetici, ispiranja usta s vodikovim peroksidom ili klorheksidinom, kao i kortikosteroidne masti, često se koriste za smanjenje nelagode. Ove metode pružaju privremeno olakšanje i olakšavaju obavljanje svakodnevnih aktivnosti. Takođe, ako su afte rezultat nutritivnih nedostataka, liječnik može preporučiti vitaminske dodatke kako bi se nadoknadila potrebna količina vitamina B12, folne kiseline, željeza ili cinka. U težim slučajevima, kauterizacija može biti opcija koja smanjuje bol i ubrzava proces zacjeljivanja. Ovo je procedura koja uključuje primjenu hemikalija ili električne struje na afte, iako je preporučuje samo stručnjak, zbog mogućih nuspojava.
Prevencija Afti

Iako ne postoji siguran način za prevenciju afti, postoje koraci koji se mogu poduzeti kako bi se smanjio rizik od njihovog nastanka. Izbjegavanje kisele, začinjene i slane hrane može značajno pomoći, kao i održavanje dobre oralne higijene. Četkanje zuba mekanom četkicom i redovno korištenje zubnog konca ključni su za zdravlje usne šupljine. Takođe, važno je paziti na unos vitamina i minerala te primjenjivati tehnike smanjenja stresa, kao što su mindfulness ili meditacija. Ove tehnike mogu pomoći u smanjenju stresa, što je jedan od ključnih faktora u pojavi afti. Uzimanje dovoljno tečnosti takođe igra važnu ulogu u održavanju hidratacije sluznice, što može smanjiti rizik od iritacije i upale.
Kada Potražiti Liječničku Pomoć

Tekst se nastavlja ispod oglasa:

Većina ljudi ima afte koje se mogu ublažiti jednostavnim pripravcima iz ljekarne, međutim, ako ranice postanu velike, često se ponavljaju ili značajno ometaju svakodnevne aktivnosti, obavezno je potražiti liječničku pomoć. Takođe, ako se afte šire, traju duže od dva tjedna ili su praćene visokom temperaturom, važno je odmah se obratiti stručnjaku. U nekim slučajevima, afte mogu biti znak ozbiljnijih zdravstvenih problema, kao što su autoimune bolesti ili poremećaji probavnog sistema. Stoga je važno obratiti pažnju na simptome i pravovremeno reagovati. Kroz pravilan pristup i brigu, moguće je značajno smanjiti nelagodu koju afte mogu uzrokovati i poboljšati kvalitetu života.

Leave a Reply